Facetas e lentes de contato

São próteses finas para cobrir as faces dos dentes e dar uma aparência mais harmônica ao sorriso. Elas funcionam como capas protetoras para melhorar o tamanho dos dentes e reparar eventuais desgastes ou fraturas. Os materiais que compõem as facetas podem ser tanto de porcelana ou resina.

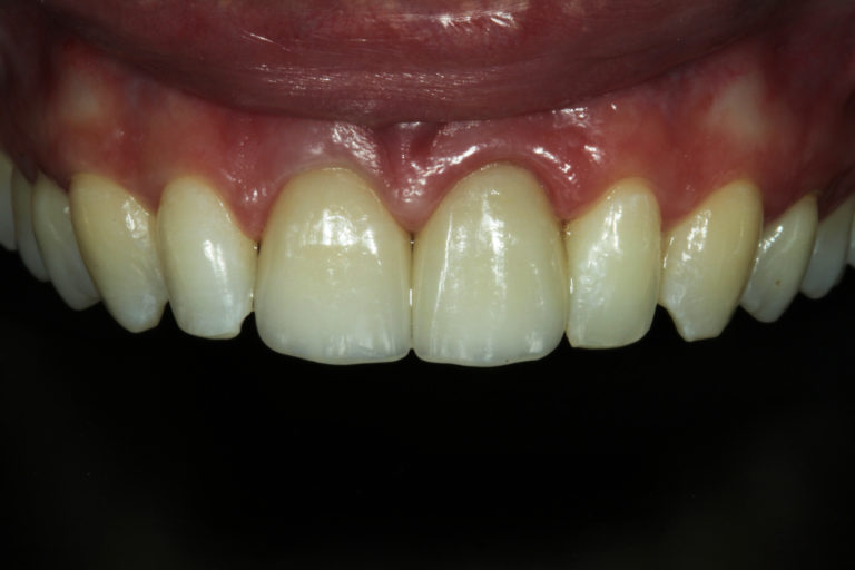
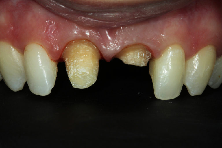
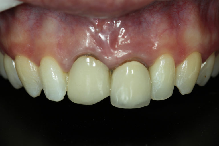
Próteses fixas

Peça protética utilizada para substituir a coroa de um dente fraturado, cariado ou extensamente restaurado, mas que ainda tem sua raiz dental para servir de suporte. Pode ser unitária ou múltipla. O material de escolha para esta reabilitação geralmente é a cerâmica (porcelana).

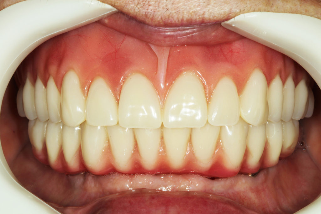
Próteses totais

São peças móveis, utilizadas para reabilitar pacientes edêntulos (sem nenhum dente na arcada). Também chamadas de “dentaduras”.

Próteses parciais removíveis

São prótese móveis (paciente tira para escovação) utilizadas para repor algumas perdas dentárias. Utilizadas em pacientes que não possuem alguns dentes.

Receba nossas novidades

Inscreva-se para receber alertas, ofertas especiais, educação e atualizações.

Maria Cecilia Giacomel © 2020 Todos os direitos reservados | Desenvolvido por Agência Incom